年末の眼科の指示を受け、年が明けてから改めて設備のある病院でMRIを受けた。
病院で受付をして、最初に医師の問診があるのかと思いきや、先にMRIを受けてくださいとの指示で、指示通り検査室に向かう。
どうやらMRIは検査にそれなりの時間を要するようであり、何人も受診者がいると順番待ちになり、相当時間がかかってしまうとのことのようだ。
幸い順番がすぐ回って来て、すぐ受診することが出来た。
受診室に入る直前にストレッチャーに乗せられた入院患者のような方が運ばれてきたが、幸い順番を抜かされるともなく、MRI検査室へ入れた。
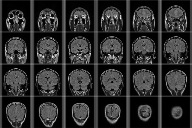
私自身、MRIを受けた経験は、人間ドッグの時に一度くらい受けたような記憶がある程度で、つまりかなり久しぶりでその時のことはあまり覚えていない。
細長いベッドに寝かされ、ゴーグルような眼鏡?を顔にセットされ、そのまま大きなトンネルのような機械の中に頭から滑り込まされていく。
時間は10数分だという。
緊急スイッチのようなものを握らされ検査の間は頭を動かさないでくれと言われたが、眠くなりそうでなかなか姿勢の維持は大変である。
そんなウトウト加減のうちに検査が終わる。
そして検査結果のカルテのようなものを元の脳神経外科の診察室に届けて、診察室の前で呼ばれるのを待っていたら、再び看護婦が出てきてCTスキャンも受けろという。
「え?」
医師がMRIの結果を見て疑問を感じての指示なのか、こちらの想定外の指示に不安を感じた。
とにかくCTスキャンも受けることになり、先ほどのMRI検査室の隣の検査室に向かう。
今回は指示票を提出した途端に検査の順番が回ってきた。
CT検査機も同じように別途に寝かされ、円盤の中に滑り込まされる。
今回はゴーグルでなく、ヘッドフォンのようなものを耳に当てられた。
時間としては10ほどとのことだったが、キーキーといった奇怪な機械音が結構聴こえた。
それを防ぐためのヘッドフォンらしい。
そんな機械音を感じながら検査というか撮影が終わる。
カルテのようなものを診察室受付に提出し、 再び呼ばれるのを待った。
思ったより長かったのか、不安が長く感じさせたのか不明だが、結構長く待たされたと感じた後に名前を呼ばれる。
で、席につくと医師が写真を見ながら説明を始める。
MRIとCTと写真を撮ったが、紹介状に書かれていたような症状の原因は何も見つからなかったとのこと。
不安に対して覚悟を持ってここへ来たが、この言葉を聴いてほっとした。
「ただ・・・」
医師が言葉を続ける。
「ここに白い跡があるんですよね、脳梗塞の跡のようですね。」
脳梗塞?そんな症状は最近なかったと思うが。。
いつ頃の跡なのかを訊ねてみたが、それは分からないという。
5年単位なのか10年単位なのか不明だという。
過去に変な頭痛を感じたことがなかったかと言えば、体調不良は時々あるので、記憶の中に時期を特定できるような時期は思い当たらない。
脳梗塞、、つまり脳内で血管が切れて出血した跡ということになるのだが、必ずしも明確な症状が出るわけではないという。
今後の生活に直接影響が出るわけではないが、高血圧や糖尿病的な要素があると動脈硬化などから常に脳梗塞のリスクは抱えている状態と言えるとのこと。
そのリスクがどの程度とは定量的には表せないようだが、健康体の人よりはリスクは高いらしい。
結局今回の検査では眼に影響しそうな病気らしい兆候は何もなかったので、診断結果写真と眼科医師への返信を預かって、再び眼科を訪れることになった。
眼の状態の原因が見つからなかった上に、不安要素をお土産にもらったMRI検査になってしまった。
今後も眼の症状との戦いは続く。


